Instructions
Disc size is an important part of a glaucoma workup as larger cups are typically associated with larger discs whiles smaller discs are associated with smaller cups. Thus, a large cup in a small disc is of greater concern than a large cup in a small disc.
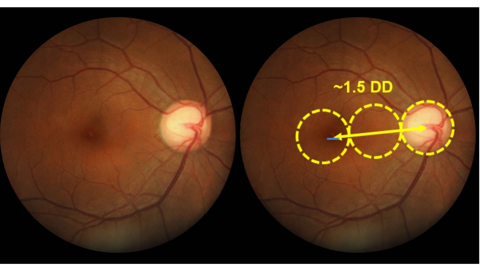
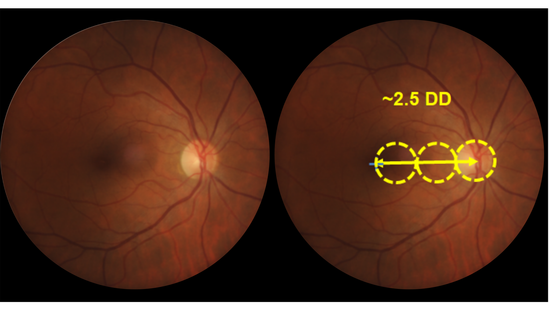
To estimate disc size, a simple approach is to compare the disc size to the distance between the disc and the fovea. To do this, define the outline of the disc (dotted yellow circle in the image).
Next, mentally draw a line from the disc centre to the foveal centre (yellow arrow). This is the disc-foveal distance.
Finally, estimate the disc-foveal distance in terms of disc diameters to the nearest 0.5 disc diameter.
It should be noted here that discs may be oval in shape rather than round. In this situation, use the longest disc diameter to generate your estimate of disc-foveal distance.
An average disc-foveal distance is 2.5 disc diameters. A disc is considered small if the estimate of this distance is 3DD or greater, and large if this distance is 2DD or less.
Some examples of different disc sizes follow.
Example 1: This shows a small optic disc with a distance from the centre of the disc to the centre of the fovea of approximately 3.5DD.
Example 2: This shows an average sized disc with a distance from the centre of the disc to the foveal centre of approximately 2.5DD
Example 3: This shows a large disc with a distance from the centre of the disc to the centre of the fovea of approximately 1.5DD

